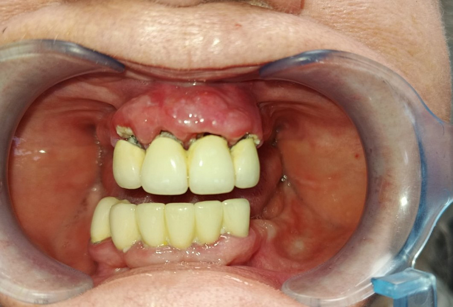
Помните персонажа из сериала «Солдаты», младшего сержанта Рената Фахрутдинова? К нам обратился актер, который его сыграл. Юрий Шибанов потерял практически все зубы из-за пародонтита. Осталось четыре нижних спереди.
Пациенту выполнили стратегическую имплантацию на обеих челюстях. Операция была сложной — пришлось удалять зуб мудрости, который был в десне и лежал на боку.
Установили швейцарские импланты: 14 сверху и 10 снизу. Новые зубы актера выполнены из полиметилметакрилата (ПММА).
Пациентка ранее носила частично съемные протезы, но с ними было некомфортно в повседневной жизни. Она захотела перейти на более удобный вариант — несъемные протезы на имплантах.
После осмотра и консультации в МитраЛаб, Татьяне назначили план лечения. Выполнили стратегическую имплантацию на обеих челюстях, установили швейцарские импланты Oneway Biomed и зубы из ПММА. При том, что на одной челюсти была выраженная атрофия кости, наращивание ткани проводить не пришлось. Уникальная методика стратегической имплантации позволяет ставить импланты без дополнительных операций.
Пациентка отмечает, что качество жизни после установки новых зубов заметно улучшилось.
Пациент обратился в МитраЛаб с проблемой, которая мешала ему нормально жить более 10 лет. На обеих челюстях не было зубов, он с трудом жевал и говорил.
Ранее пользовался съемными протезами, которые перестали держаться — выпадали даже во время разговора. Приходилось постоянно добавлять клей. Импланты, установленные в другой клинике, не прижились.
Мы провели комплексную диагностику, после чего стало ясно, что лучшее решение — выполнить Игорю стратегическую имплантацию на обеих челюстях. Операция проходила под седацией, пациенту установили швейцарские импланты OneWay Biomed. Далее — новые зубы из диоксида циркония.
Теперь Игорь свободно говорит, без проблем ест любимую еду и чувствует себя уверенно.
Пациентка потеряла большинство зубов, из-за чего качество жизни сильно снизилось. Было сложно есть, не хотелось улыбаться перед незнакомыми людьми.
Несмотря на дискомфорт, Наталья не решалась на операцию. Чтобы хоть как-то жевать, носила частично съемный протез на нижней челюсти. И только спустя 10 лет, придя на консультацию в МитраЛаб, поняла, что пора раз и навсегда разобраться с проблемой.
После удаления оставшихся разрушенных зубов пациентке провели стратегическую имплантацию на обеих челюстях. Установили швейцарские импланты Oneway Biomed и зубы из ПММА.
Теперь Наталья вернулась к нормальной жизни, ведь новая улыбка — это не просто о красоте. Это про уверенность, свободу и радость каждый день.
Пациент долгое время жил без зубов. Он пользовался съемными протезами, но они постоянно выпадали. О комфорте во время еды и общения и речи не шло. Ринат был постоянно в напряжении — переживал, что протез выпадет в самый неудобный момент.
Когда пациент решился на решение проблемы оперативным путем, он сразу пришел на консультацию в МитраЛаб. В тот же день он согласился на имплантацию.
Перед нами стояла задача восстановить обе челюсти, несмотря на выраженную атрофию костной ткани. Мы провели стратегическую имплантацию, установили швейцарские имплантаты Oneway Biomed и зубы из ПММА.
После лечения жизнь Рината изменилась на 360 градусов. Он стал говорить уверенно, есть любимые блюда и улыбаться без стеснения. Имплантация — это не просто новые зубы, а возвращение в комфортную и спокойную жизнь.
Пациент пришел с распространенной и крайне неприятной проблемой — подвижность зубов. Из-за этого не мог нормально жевать. А еще при каждой чистке зубов десны кровоточили, а улыбка стала причиной стеснения.
Ранее Эдуард консультировался в других клиниках, но от лечения отказывался — не был готов. После осмотра у врача МитраЛаб решение об имплантации принял сразу.
Пациенту установили швейцарские импланты OneWay Biomed на обеих челюстях. Он прекрасно себя чувствует и результат оценил на 10 из 10. Вернулись комфорт, уверенность в себе и возможность есть без ограничений.
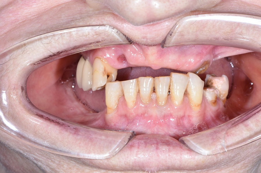
Пациент пришел к нам с жалобами на кровоточивость и болезненность десен, особенно во время еды. Павел — активный и жизнерадостный человек. Он хотел поскорее избавиться от дискомфорта и вернуть привычный образ жизни.
Павлу делали имплантацию зубов в другой клинике. После осмотра его полости рта стало ясно, что зубы нужно удалять на обеих челюстях и ставить новые.
Импланты пациента укрепили титановыми основаниями и установили новые зубы из диоксида циркония.
Павел замечательно себя чувствует и наконец-то может есть без боли.