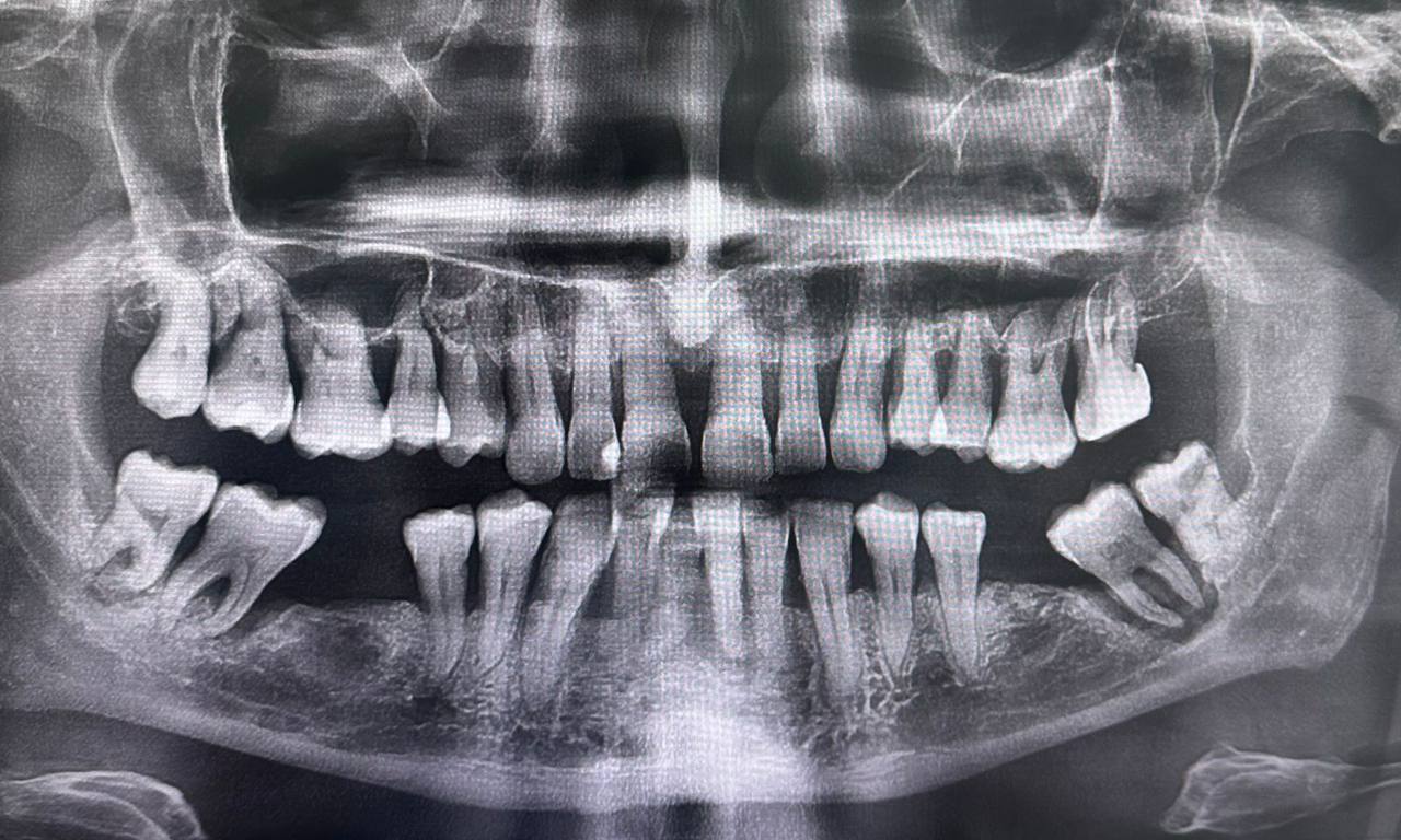
Ортопантомограмма зубов — что это такое?
ОПТГ — это рентгенологическая диагностика, которая показывает общее состояние ротовой полости пациента. Врач получает высокоточный 2D-снимок, где видны оба зубных ряда, верхняя и нижняя челюсти, височно-нижнечелюстные суставы, гайморовы пазухи и окружающие костные структуры.
Ортопантомограмма позволяет оценить положение, форму и состояние каждого зуба, а также выявить скрытые патологии, недоступные при визуальном осмотре.
Показания к панорамному рентгеновскому снимку зубов
Панорамный снимок зубов врач-стоматолог назначает после визуального осмотра ротовой полости пациента. ОПТГ помогает подтвердить предварительный диагноз и точнее определить, какое лечение требуется.
Ортопантомограмма показана в следующих клинических ситуациях в стоматологии:
- выявление скрытого кариеса;
- диагностика заболеваний височно-нижнечелюстного сустава (ВНЧС);
- сложное удаление зубов;
- оценка прикуса, планирование установки брекетов;
- диагностика опухолей, кист, воспалительных процессов и других патологий;
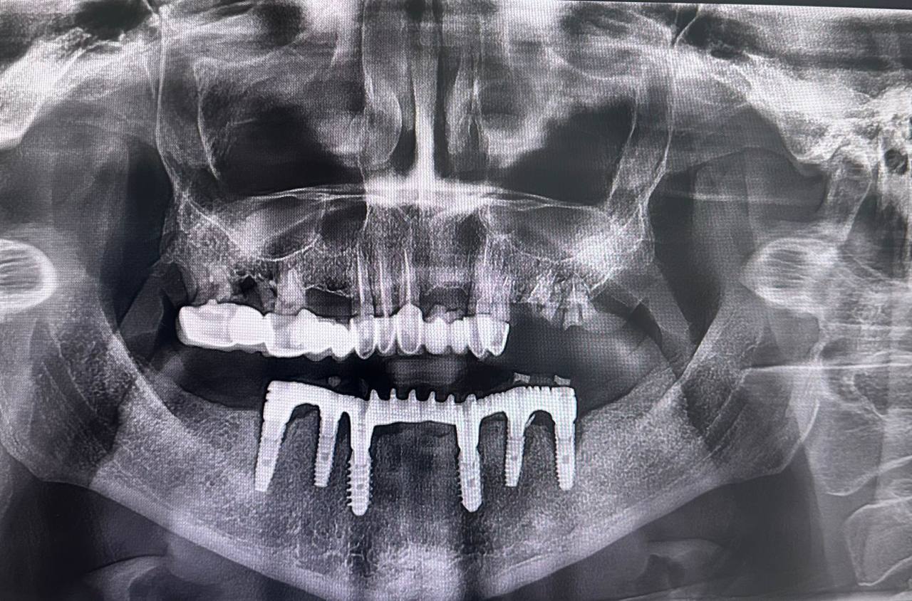
- оценка состояния костной ткани перед установкой имплантатов и т.д.
Что показывает ОПТГ снимок зубов
Панорамный рентгеновский снимок челюсти в основном используют для детального осмотра зубов и окружающих их тканей, в том числе ниже линии десны. Вот что он помогает увидеть:
- аномалии развития и положения зубных рядов;
- состояние костной ткани: плотность, структура, наличие воспалений;
- состояние пародонта — тканей, которые удерживают зуб в костной лунке;
- воспаления и другие патологии гайморовых пазух;
- причины нарушения нормальной работы височно-нижнечелюстных суставов и т.д.
Врач получает полное представление о состоянии полости рта пациента, что позволяет разработать оптимальный план лечения.
Преимущества ОПТГ
-
01высокая информативность
панорамный снимок челюсти охватывает всю зубочелюстную систему, позволяя оценить состояние зубов и прилегающих к ним структур;
-
02быстрота проведения
процедура занимает около 2 минут, а результаты доступны сразу;
-
03безопасность
низкая доза облучения делает метод безопасным для большинства пациентов, включая пожилых людей;
-
04комфорт для пациента
процедура безболезненна и не требует специальной подготовки;
-
05изображения в цифровом формате
можно хранить и передавать в электронном виде, увеличивать и детально изучать их отдельные участки.
Чем отличается ОПТГ от КТ?
ОПТГ дает общее представление о состоянии зубов и челюстей пациента. Снимки врач получает в 2D-формате.
КТ — это более детальное исследование зубочелюстной системы человека. Специалист получает возможность изучить зубы, костные и мягкие ткани на 3D-изображениях. Компьютерную томографию обычно назначают в особо сложных клинических ситуациях, чтобы подобрать эффективное лечение.
Как делают панорамный снимок зубов
Пациент снимает металлические предметы с шеи и головы: украшения, съемные зубные протезы и т.д. Врач помогает ему надеть защитный фартук. Голову фиксируют на специальных опорах перед ортопантомографом. Датчик вращается вокруг головы пациента, выполняя серию снимков. Затем компьютер объединяет их в единое панорамное изображение.
Хотите сделать панорамный снимок зубов? В клинике МитраЛаб процедуру выполняют на ортопантомографе последнего поколения с низким уровнем облучения. Прием ведут специалисты с опытом от 5-15 лет. Планируйте вашу запись заранее, чтобы подобрать удобную дату и время.